
Alinhadores Invisíveis
em Guaxupé
Tratamento discreto e rápido
Alinhadores feitos sob medida e com corte a laser
Tratamento super tecnológico e avançado






Garanta sua vaga:
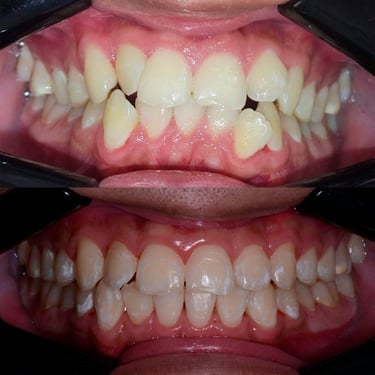
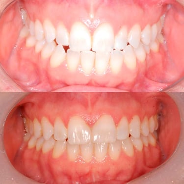
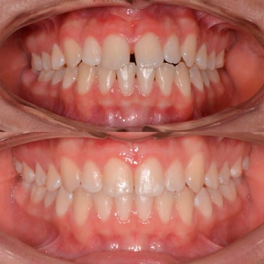
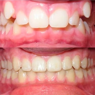
Sorria sem aparelho metálico! Tratamento discreto, rápido e sem dor. Feito por especialistas aqui na cidade.
O que é o alinhador?
O alinhador invisível é um aparelho ortodôntico removível e transparente, usado para corrigir o posicionamento dos dentes de forma discreta. Ele é feito sob medida para cada pessoa e funciona por meio de uma sequência de placas que aplicam leves pressões, movimentando os dentes gradualmente. Além de ser quase imperceptível, pode ser retirado para comer e higienizar os dentes, oferecendo mais conforto e praticidade em comparação aos aparelhos fixos tradicionais.


Avaliação GRATUITA do sorriso!
Avaliação Gratuita do seu sorriso sem compromisso!
Descubra se você é candidato aos alinhadores e quanto vai custar o seu caso. Vagas limitadas por semana.








Mais de
13.000 sorrisos transformados!
Somos uma rede de clínicas presente em Minas Gerais e São Paulo. Com mais de 13.000 pacientes atendidos e milhares de implantes instalados, na Oral Lite oferecemos tratamentos odontológicos completos, desde implantes e próteses até tratamentos com alinhadores e aparelhos.
Em nossas clínicas você é tratado como merece e é atendido com qualidade pelos melhores profissionais da odontologia!




A Oral Lite Guaxupé
Milhares de pacientes já realizaram implantes com nossa tecnologia de ponta!






Perguntas e Respostas
A avaliação de alinhador é paga?
Não! Nosso grande diferencial é que a avaliação e o planejamento do tratamento com alinhadores é totalmente gratuita!
Tratamento com alinhador demora muito?
Não! É um tratamento mais rápido do que os aparelhos convencionais que usam borrachinha!
Quanto custa?
Cada caso é único, mas parcelamos em até 18x. Solicite sua avaliação gratuita!
Por quanto tempo tenho que usar por dia?
O uso indicado do alinhador é durante 22 horas por dia. Você só tira para comer e escovar os dentes!
Como posso marcar uma avaliação gratuita de alinhador?
É só clicar no botão verde e mandar uma mensagem diretamente pelo WhatsApp!
AGENDE AGORA:
Transformando a vida de nossos pacientes!




Nosso Endereço
Rua Major Joaquim Pedro, 97 - Centro, Guaxupé - MG, 37800-000
Contato
Guaxupé - MG +55 (35) 99728-3774
